MitoEM Challenge: Large-scale 3D Mitochondria Instance Segmentation¶
This challenge is part of ISBI 2021, taking place on April 13-16th, 2021. The top teams will be invited for writing an overview paper after the challenge. More information about the MitoEM dataset can be found in our MICCAI 2020 paper. We keep the online evaluation open for new submissions, but only results submitted before March 1, 2021, are considered for the ISBI challenge workshop.
[New!] A deep analysis of the MitoEM challenge has been made in a new manuscript accepted at IEEE Transactions on Medical Imaging: "Current Progress and Challenges in Large-scale 3D Mitochondria Instance Segmentation". Find here the link to the manuscript and please cite it if you use MitoEM in your research.
[Important Note!] For online evaluations after March 2, 2022, we will use "MitoEM-v2" where we corrected some data annotation errors after the ISBI challenge (MitoEM-v1). The screenshot of the MitoEM-v1 leaderboard is kept only for reference.
Explore it in your browser! [MitoEM-H], [MitoEM-R]¶
(navigation tips: [manual] [youtube video])
¶
Task¶
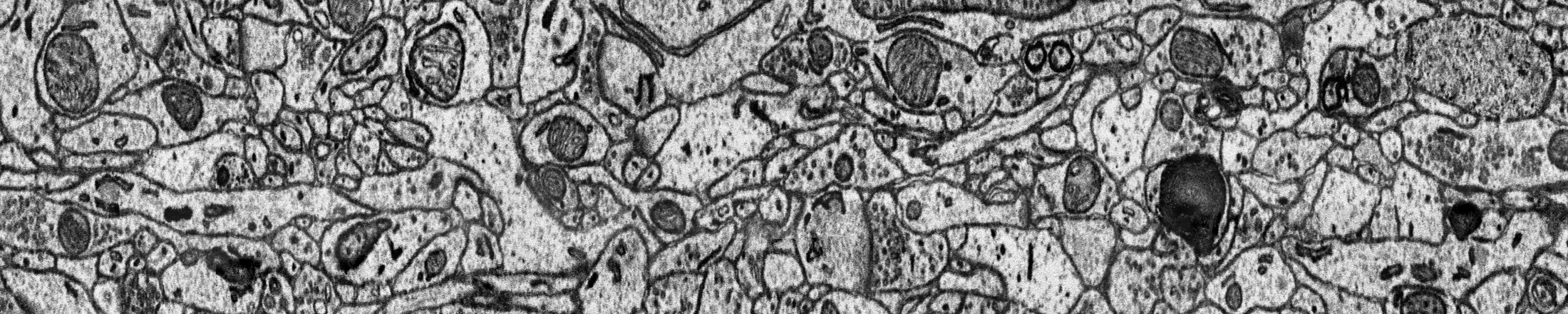
The task is the 3D mitochondria instance segmentation on two 30x30x30 um datasets, 1000x4096x4096 in voxels at 30x8x8 nm resolution. The image volumes are acquired from a rat (Mito-R) and a human (Mito-H) tissue, respectively. The mitochondria can display a complex morphology, e.g., (a) mitochondria-on-a-string (MOAS) instances are connected by thin microtubules, and (b) multiple instances can entangle with each other.

Dataset¶
- *Images *[MitoEM-H-im-pad], [MitoEM-R-im]: 1,000 consecutive 3D slices for each dataset. MitoEM-H-im-pad has the [20,512,512] padding on both sides in the zyx axis.
- Mito 3D instance segmentation label [MitoEM-H-train-val-v2], [MitoEM-R-train-val-v2]: ground truth mitochondria instance labels for the first 500 slices split between train (0-399) / val (400-499) subfolders.
All the mitochondria instances in the ground-truth annotation are at least 2,000 voxels. The annotation is not perfect. Please email linzudi@g.harvard.edu the (x,y,z) location of erroneous segmentation to refine it together. The subject of the email: "[MitoEM Error]"
Starter code¶
Important Changes¶
We changed the evaluation metric from AP-75 to F1 after a complete analysis of the submissions (more detail is the evaluation page). We are finishing the MitoEM competition review paper explaining the motivation behind the change, a deep study of errors and challenges of this dataset that remain open to the community.
Important Dates¶
01 Nov 2020: Challenge Website Launch08 Nov 2020: Registration open26 Nov 2020: Training/Val/Test Data Release (Images + Training/Val Ground truth)28 Feb 2021: Test set results submission deadline.10 Mar 2021: 4-page Paper submission deadline for top-performing teams.15 Mar 2021: Off-site leaderboard update and call for participation of top-performing teams (subjected to ISBI registration)18 Mar 2021: ISBI registration deadline20 Mar 2021: Final Off-site leaderboard update and the display of top teams upon participation confirmation.13 April 2021: On-site challenge at ISBI 2021.
Citation¶
@ARTICLE{francocurrentmito2023, author={Franco-Barranco, Daniel and Lin, Zudi and Jang, Won-Dong and Wang, Xueying and Shen, Qijia and Yin, Wenjie and Fan, Yutian and Li, Mingxing and Chen, Chang and Xiong, Zhiwei and Xin, Rui and Liu, Hao and Chen, Huai and Li, Zhili and Zhao, Jie and Chen, Xuejin and Pape, Constantin and Conrad, Ryan and Nightingale, Luke and De Folter, Joost and Jones, Martin L. and Liu, Yanling and Ziaei, Dorsa and Huschauer, Stephan and Arganda-Carreras, Ignacio and Pfister, Hanspeter and Wei, Donglai}, journal={IEEE Transactions on Medical Imaging}, title={Current Progress and Challenges in Large-scale 3D Mitochondria Instance Segmentation}, year={2023}, volume={42}, number={12}, pages={3956-3971}, doi={10.1109/TMI.2023.3320497}}
@inproceedings{wei2020mitoem, title={MitoEM Dataset: Large-scale 3D Mitochondria Instance Segmentation from EM Images}, author={D. Wei, Z. Lin, D. Franco-Barranco, N. Wendt, X. Liu, W. Yin, X. Huang, A. Gupta, W. Jang, X. Wang, I. Arganda-Carreras, J. Lichtman, H. Pfister}, booktitle={International Conference on Medical Image Computing and Computer Assisted Intervention}, year={2020} }
Organizing committee¶
- Donglai Wei, School of Engineering and Applied Science, Harvard University, U.S.A.
- Xueying Wang, Molecular and Cellular Biology Department, Harvard University, U.S.A.
- Daniel Franco-Barranco (Donostia International Physics Center, Donostia-San Sebastian, Spain)
- Zudi Lin, School of Engineering and Applied Science, Harvard University, U.S.A.
- Wenjie Yin, Molecular and Cellular Biology Department, Harvard University, U.S.A.
- Won-Dong Jang, School of Engineering and Applied Science, Harvard University, U.S.A.
- Ignacio Arganda-Carreras (Ikerbasque, Basque Foundation for Science, Bilbao, Spain)
- Jeff W. Lichtman, Jeremy R. Knowles Professor of Molecular and Cellular Biology, Santiago Ramón y Cajal Professor of Arts and Sciences, Harvard University, U.S.A.
- Hanspeter Pfister, An Wang Professor of Computer Science, School of Engineering and Applied Science, Harvard University, U.S.A.